Skip to main content
A NOTE TO FUTURE PATIENTS:
Our office is not in network with the Washington State Insurance
known as Molina, Apple Care, Provider One, or Amerigroup.  
Crowns & Bridges
Let Us Restore Your Smile and Confidence!

Dental crowns restore teeth that are damaged or decayed, while a bridge can restore one or more missing teeth.

Crowns & Bridges | Dentist
Would You Like to Restore Your Smile?
Book an Appointment

Crowns & Bridges

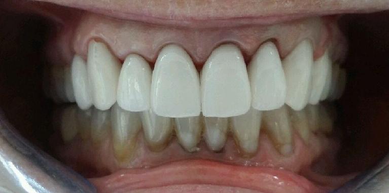
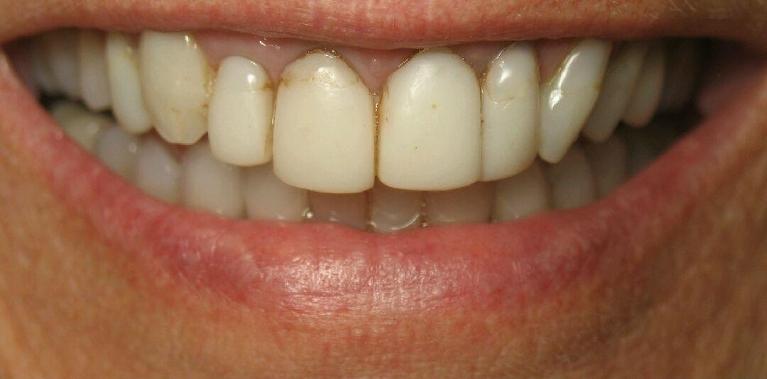
Crowns and bridges are restorations that correct dental problems while protecting and strengthening your teeth.

A dental crown is custom-made to fit over a damaged natural tooth. It restores the function of the tooth and provides strength and support. Dental bridges are also versatile and have several uses.

We usually create crowns and bridges out of porcelain because of its natural appearance and durability.

Everyone wants a smile that is healthy and beautiful, and we can help you reach that goal by using crowns and bridges. Updated techniques and treatments have made the placing of crowns and bridges easier than ever before.

When Are Dental Crowns and Bridges Used?

Dental crowns have many applications and can be used to correct many problems:

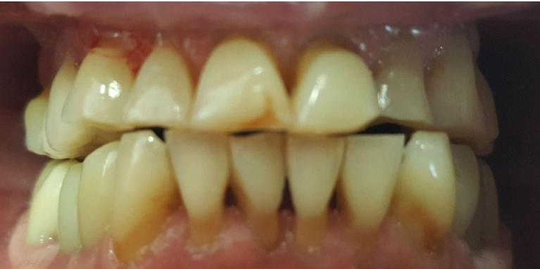
  • Severely decayed teeth
  • Teeth weakened by root canal treatment
  • Fractured or broken teeth
  • Broken fillings
  • Large, unattractive fillings

A dental bridge is used to fill the space left by a missing tooth. The bridge is usually made as a single unit that is held in place by crowns on adjacent teeth. A dental bridge not only improves your appearance but also prevents surrounding teeth from shifting out of place and moving into the space left by a missing tooth.

What Does Placing a Crown or Bridge Involve?

A dental crown or bridge can usually be placed in two or three visits. First, we prepare your natural tooth to receive the restoration and then impressions are taken of your teeth. The impression accurately represents the position of your natural teeth so that your restoration fits perfectly.

We then send the impressions to a custom dental lab, where skilled technicians use them to create your permanent restoration, which usually takes about two weeks. Before you leave our office, we fit you with a temporary bridge or crown that you wear while the lab fabricates your new crown or bridge.

Once we receive your restoration back from the lab, we will schedule an appointment for you to return to our office. At that time we check the finished restoration for proper fit and make adjustments as necessary. Finally, the restoration is cemented permanently into place.

Before you leave our office, we will give you instructions on caring for your new restoration. The restoration is fully functional, but you should remember that it requires special care to prevent damage and the need for replacement. If you practice proper oral hygiene and schedule regular dental cleanings, your new restoration will last for many years.

Call to Schedule an Evaluation

Are you troubled by a damaged or missing tooth? Please call our office today to schedule an evaluation and learn more about your options!

Kent July 2019

Dr. Song and his staff are knowledgeable, kind and friendly. The best experience possible.

Frequently Asked Questions

A dental bridge is a very effective solution for filling the space left by a missing tooth. It is basically a single dental restoration that usually includes two dental crowns and a replacement tooth (pontic) that fills the empty space. The dental crowns are secured to adjacent teeth on either side of the empty space and provide support for the artificial tooth.

 

Meet Our Doctor:

Dr. Kevin Song

Dr. Song grew up in Southern California and graduated from the University of California with a BS in Psychobiology. He attained his DDS from the University of Southern California in 2007. After working for two years in California, he decided to move to the Northwest to raise his family and enjoy outdoor activities.

Dr. Song has advanced skills and knowledge in many aspects of dentistry, these include but are not limited to: Invisalign, Implants, Root canal treatment, Oral surgery - with IV sedation upon request, and cosmetic as well as general ...

Scheduling an Appointment Couldn't Be Easier!
Start Here